All-on-X | Proteza na implantach
Niniejsza propozycja nie jest ofertą w rozumieniu art. 66 Kodeksu Cywilnego.
Decyzja o przyznaniu i warunkach kredytu zostanie podjęta przez Bank.
Szczegóły u sprzedawcy oraz na www.santanderconsumer.pl
Klinika Platinum Sp. z o.o. występujący w roli pośrednika kredytowego
sporządza i zawiera umowy o kredyt na zakup towarów i usług w imieniu
i na rzecz Santander Consumer Bank S.A.
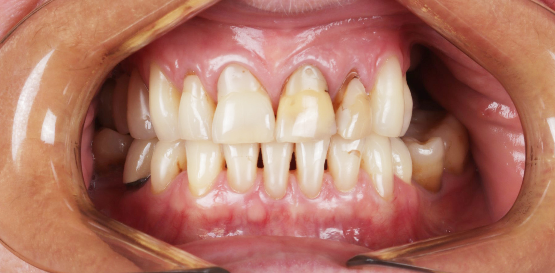
Klinika Platinum we Wrocławiu oferuje zaawansowane zabiegi z zakresu stomatologii estetycznej i implantologii.
W ciągu zaledwie JEDNEGO dnia zyskasz u nas piękny uśmiech, który będzie Ci codziennie towarzyszyć przez kolejne lata! Podczas wizyty zadbamy o Twój komfort i zagwarantujemy najwyższy standard opieki.







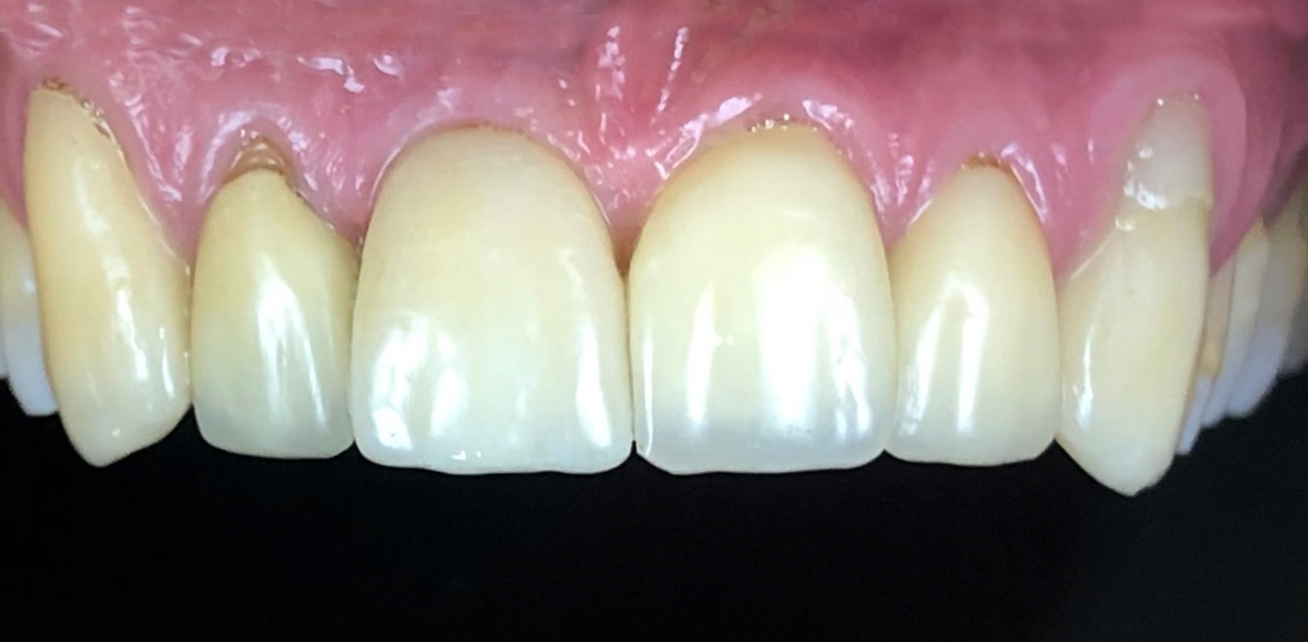
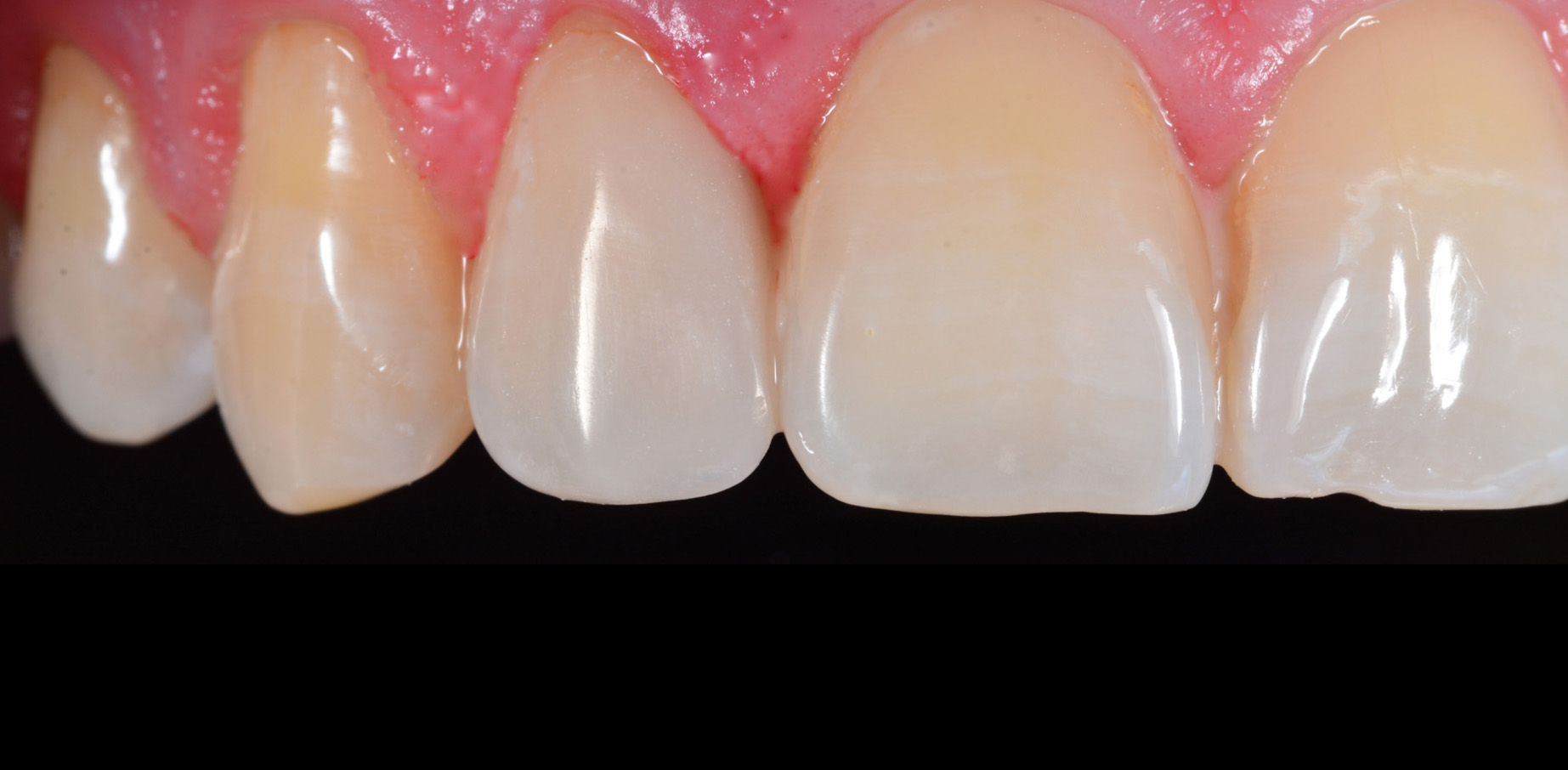
Jedną z najczęściej stosowanych metod jest rozwiązanie All-on-X (proteza na implantach), które pozwala na stabilne i estetyczne uzupełnienie wszystkich zębów. Dowiedz się więcej, oglądając film:
Umów się na konsultację z naszym lekarzem jeśli:
Brakuje Ci większości
lub wszystkich zębów
Masz pojedyncze
braki zębowe
Twoja proteza jest niewygodna
lub się rusza
Unikasz jedzenia
twardszych rzeczy
Masz zęby
w bardzo złym stanie
Chcesz odzyskać
pewność siebie
Nowy uśmiech może być bliżej, niż myślisz!
W naszej Klinice pomagamy odzyskać pełny, naturalny uśmiech dzięki nowoczesnym rozwiązaniom implantologicznym i protetycznym. Zapewniamy kompleksową opiekę – od konsultacji i diagnostyki po trwałą odbudowę uzębienia.
Odzyskaj komfort jedzenia, mówienia i pewność uśmiechu.
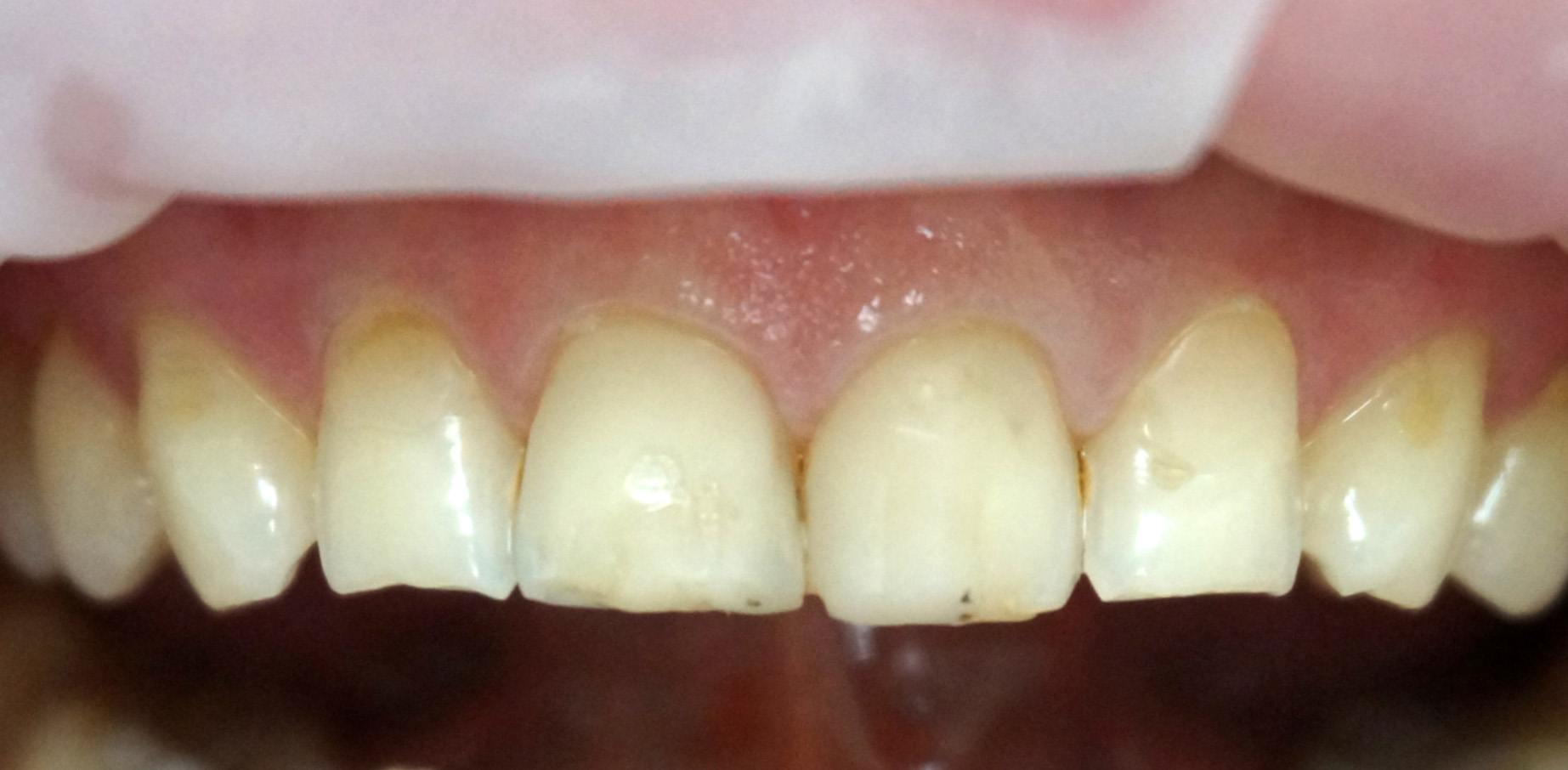
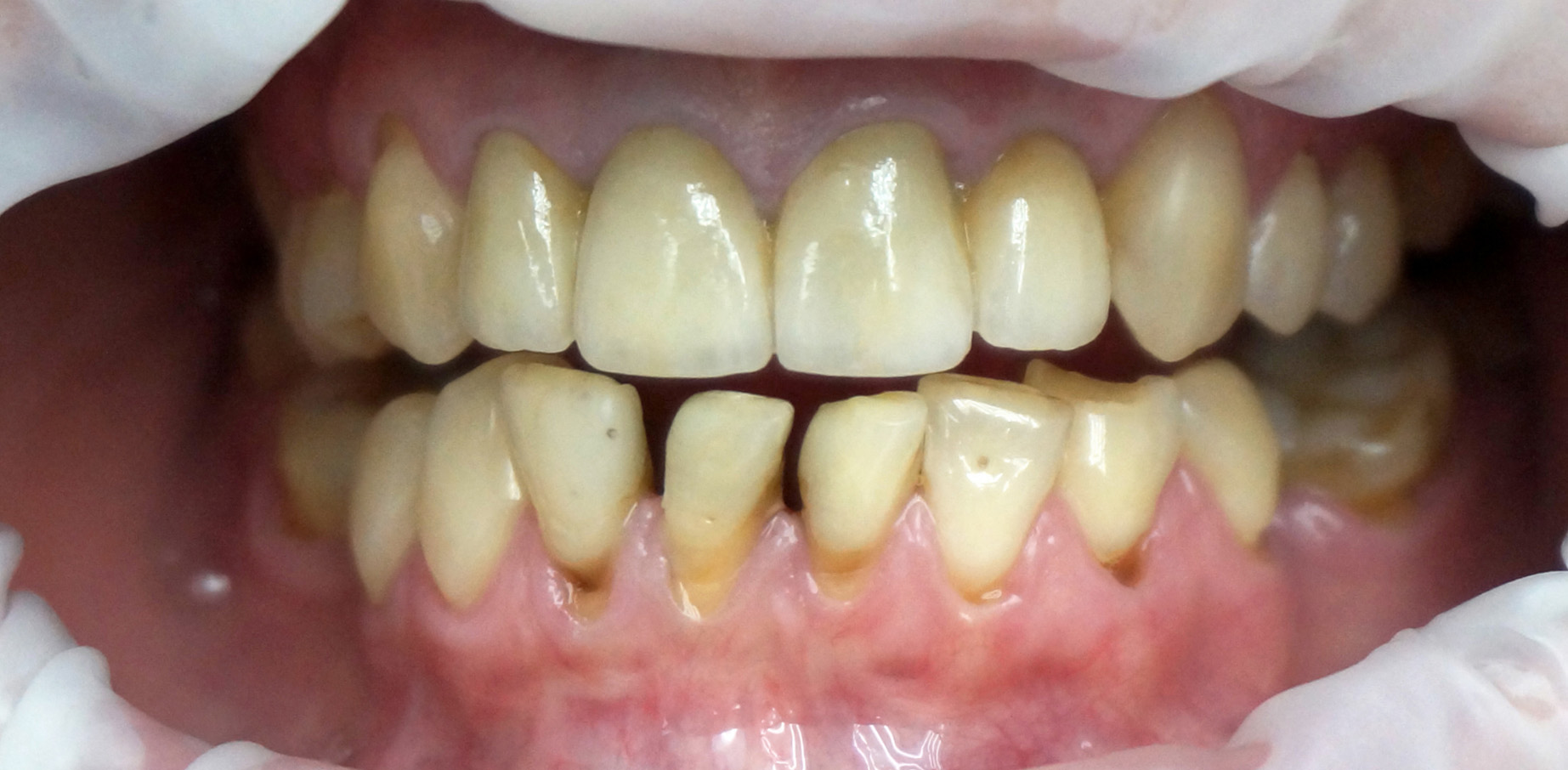
To uzupełnienia stosowane w przypadku braków pojedynczych lub większej liczby zębów. Mogą mieć formę mostów mocowanych na zębach własnych lub implantach, a także nowoczesnych protez dopasowanych do indywidualnych potrzeb pacjenta. Pozwalają przywrócić prawidłową funkcję zgryzu oraz estetykę uśmiechu, poprawiając komfort codziennego funkcjonowania.
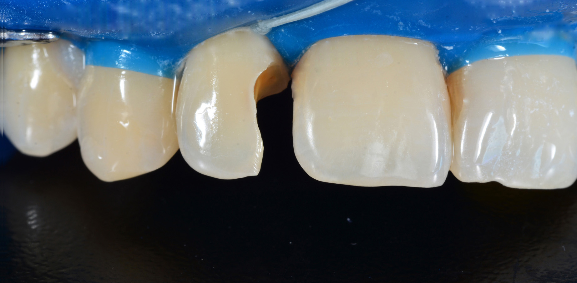
Są to cienkie nakłady, które przykleja się do przedniej powierzchni zębów. Wykonane są z trwałych materiałów. Natychmiastowo poprawiają estetykę uśmiechu, maskują przebarwienia oraz korygują kształt i wielkość zęba.
To stałe uzupełnienia protetyczne, które umieszczone są na zębach własnych po ich wcześniejszym opracowaniu. Odzwierciedlają naturalny kształt zębów, zapewniając przy tym naturalny i estetyczny wygląd. Korony chronią zęby przed dalszymi uszkodzeniami, są odporne na przebarwienia i zapewniają długotrwały efekt.
To rozwiązanie przeznaczone dla osób, które straciły wszystkie lub większość zębów. Polega na odbudowie całego łuku zębowego przy pomocy kilku implantów, na których mocowana jest stabilna praca protetyczna. Dzięki temu uzupełnienie jest trwałe, dobrze dopasowane i wygląda naturalnie. To nowoczesna alternatywa dla tradycyjnych protez ruchomych.
To rozwiązanie, które zastępuje brakujące zęby poprzez osadzenie w kości tytanowego wkładu - implantu , imitującego korzeń zęba. Stanowią podstawę dla pojedynczych koron, mostów oraz protez. Całość wyglądem oraz funkcją odzwierciedla naturalne zęby. Są wytrzymałe, odporne na próchnicę i zapewniają komfort w codziennych czynnościach takich jak jedzenie czy mówienie.
Dysponujemy własną pracownią protetyczną Dental Scan, co pozwala nam w pełni kontrolować każdy etap powstawania uzupełnień. Dzięki temu zapewniamy najwyższą jakość wykonania oraz krótszy czas realizacji – zarówno przy pracach pełnołukowych (protezy na implantach), jak i pojedynczych koronach, licówkach czy implantach.
Bliska współpraca lekarzy i techników przekłada się na precyzję, estetykę i idealne dopasowanie do potrzeb pacjenta.
Braki w uzębieniu? Żółte zęby, a może wada zgryzu?
W Klinice Platinum leczymy kompleksowo i spełniamy marzenia o pięknym uśmiechu.
Dzięki temu już w ciągu jednego dnia życie naszych Pacjentów zmienia się na lepsze.








| Konsultacja | 300 zł |
| Wszczepienie implantu | 4000 zł |
| Korony na implantach | od 4000 zł |
| Bonding | 650 zł / ząb |
| Licówka pełnoceramiczna | 2250 zł |
| Korona pełnoceramiczna | 2250 zł |
| Leczenie zachowawcze | od 390 zł |
| Higienizacja | 450 zł |
| Wybielanie zębów | od 1300 zł |
Sprawdź, co mówią o nas zadowoleni Pacjenci.
Serdecznie polecam! Podejście pełne życzliwości i cierpliwości do pacjenta. Pełen profesjonalizm. Panie z rejestracji wspaniałe. Pozdrawiam serdecznie cały zespół!
Całe życie bałem się dentysty jak diabeł święconej wody 👹 Od kiedy los pokierował mnie do Kliniki Platinum moje zdanie zmieniło się o 180° i to dzięki ludziom, którzy tam pracują. Przemiła atmosfera i pełen profesjonalizm w podejściu do pacjenta. Szeroki zakres świadczonych usług na bardzo wysokim levelu. Nowoczesny sprzęt i znajomość w jego wykorzystaniu przez personel sprawia, że każda wizyta jest przyjemnością.
Do Polski przyjechałem z Wielkiej Brytanii. Niesamowita klinika, bardzo nowoczesna i czysta. Świetna obsługa klienta, nie można było sobie wymarzyć lepszego dentysty. I niesamowite ceny w porównaniu do Wielkiej Brytanii. Otrzymałam opiekę na wysokim poziomie. Gorąco polecam klinikę Platinum.
Wypełnij formularz lub zadzwoń
+48 71 880 97 18
KLINIKA PLATINUM SP. z o.o. ul. Księcia Witolda 49/28
50-202 Wrocław NIP: 8982214059